Тотальная реабилитация пациента на олл др. 4 с использованием цифры
Исходный диагноз:
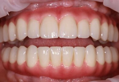
старый протез изготовлен сразу после имплантации отдавленный профиль десна временным протезом через 2 мес
Проведенные процедуры:
Изготовлен финальный постоянный протез на титановой балке, с одиночно вклеенными коронками из оксида циркония Circ Cad Ivoclar 750 Mpa. четкая облицованная керамикой. придесневая часть титана покрыта анодированным золотом




