+38 093 351 68 77
Главная
Новые технологии
Эстетическая стоматология
Цифровая стоматология
Гигиена. Пародонтология
Чистка зубов
Отбеливание зубов
Лечение зубов под микроскопом
Реставрация зубов
Фотополимерные реставрации
Лечение каналов
Ортодонтия
Брекеты
Имплантация
Протезирование зубов
Виниры
Керамика без металла
Металлокерамическая коронка
Стерилизация
Стоимость
Наши работы
Статьи
Контакты
UK
Меню
UK
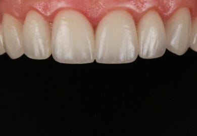
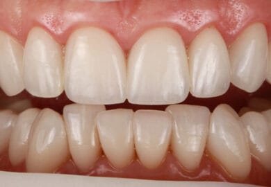
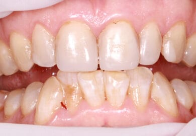
Естетично-функціональна реабілітація керамичними вінірами та коронками
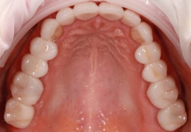
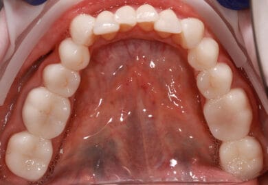
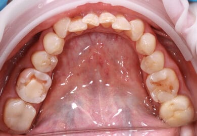
После лечения:
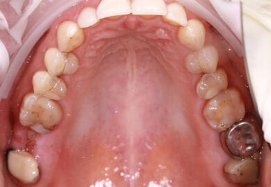
До лечения:
Процесс:
Исходный диагноз:
Проведенные процедуры:
Закрыть
Главная
Новые технологии
Эстетическая стоматология
Цифровая стоматология
Гигиена. Пародонтология
Чистка зубов
Отбеливание зубов
Лечение зубов под микроскопом
Реставрация зубов
Фотополимерные реставрации
Лечение каналов
Ортодонтия
Брекеты
Имплантация
Протезирование зубов
Виниры
Керамика без металла
Металлокерамическая коронка
Стерилизация
Наши работы
Стоимость
Статьи
Контакты
UK