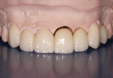
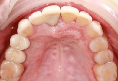
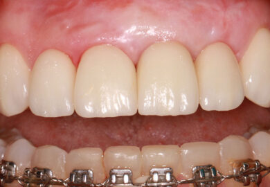
Реабілітація керамичними реставраціями на зубах та імплантах в естетичної діляці у важкому випадку після невдалого лікування
Исходный диагноз:
Виправлення тяжкого ускладнення у естетичній зоні , після втрати 21 зуба невдале встановленння імпланта та не вдала спроба виправити ситуацію пластикою м*яких тканей.
Проведенные процедуры:
Видалення старого імпланту, костна пластика, та встановлення нового імпланта та пластика десни в 3 етапи






