Функціонально-естетична реабілітація
Исходный диагноз:
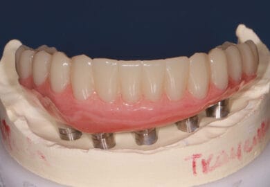
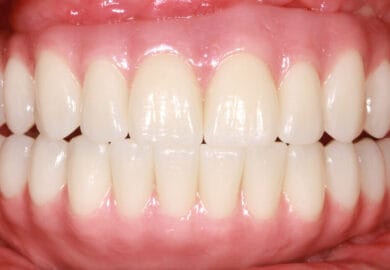
Беззуба верхня та нижня щелеп, старий знімний протез
Проведенные процедуры:
Тотальна реабілітація незнімними конструкціями на 6 імплантах верхня та ніжня щелепи. Протези підсилени титановой балкой, керамична десна та
зуби з Оксід цирконію Prime Cad


