Тотальная реабилитация на зубах и имплантах

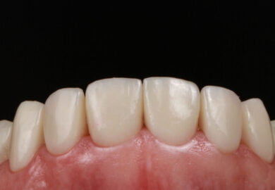
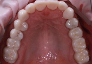
После лечения:

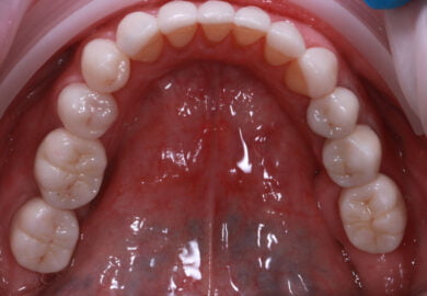
До лечения:

Процесс:

Исходный диагноз:

Адентия жевательной группы зубов, стирание зубов

Проведенные процедуры:

Имплантация зубов жевательной группы, тотальная реабилитация, использование цифрового протокола